Drei Hauptvarianten (PLESTED et al., 2020):
Rechtsseitiger (44%), mittlerer / zentraler (13%) und linksseitiger Shunt (33%)
Extrahepatisch (EHPSS):
Vor allem Rassehunde kleiner Hunderassen und Zwergrassen betroffen (z.B. Yorkshire Terrier, Malteser, Zwergschnauzer, Cairn Terrier, West Highland White Terrier)
Häufigste Form bei der Katze
Häufigste Shuntgefäße (PLESTED & DREES, 2019; WHITE et al., 2020):
Ausgehend von der V. lienalis über die V. gastrica sinistra
Ausgehend von der V. gastroduodenalis über die V. gastrica dextra
Mündung in die V. cava caudalis (portocavaler Shunt), in die V. azygos (Portoazygos Shunt) oder in die V. phrenicalis sinistra (portophrenicaler Shunt)
Agenesie / Aplasie der Portalvene:
Mögliche begleitende Entwicklungsanomalien bei Hunden:
Situs inversus
Kongenitale Herzerkrankungen
Anomalien der V. cava caudalis
Polysplenie
Vorkommen auch bei der Katze
Hypoplasie der Portalvene (histopathologische Diagnose erforderlich)
Portale Hypertension:
Mögliche Hinweise:
Aszites und Ödeme, z.B. von Gallenblasenwand und Pankreas
Umgekehrte Blutflussrichtung in der Portalvene (hepatofugaler Blutfluss)
Oben genannte Blutflussveränderungen bei normaler Größe oder dilatierter Portalvene
Häufigste Ursache ist ein erhöhter Widerstand des Blutflusses durch die Leber, z.B. durch chronische Lebererkrankungen, wie z.B. eine Zirrhose
Auch prähepatische Ursachen wie z.B. Portalvenenthrombose, sowie posthepatische Ursachen wie Stauung der V. cava caudalis z.B. durch Rechtsherzinsuffizienz möglich
Obstruktion der Portalvene:
Komplette / partielle Portalvenenthrombose:
Mögliche Ursachen:
Hyperkoagulabilität (z.B. durch Nierenerkrankungen, Pankreatitis, Hyperadrenokortizismus, Proteinverlust-Enteropathien & immunmediierte Anämien)
Gefäßstauung
Verletzungen des Gefäßendothels, z.B. durch Shuntligatur
Häufiges Vorkommen in Verbindung mit Lebererkrankungen
Abklärung bei Hunden mit Bauchschmerzen, Aszites und Thrombozytopenie indiziert
kaudale Ausbreitung in die V. lienalis und V. mesenterica cranialis möglich
Portalvenenkompression durch extraluminale Massen, Tumor, etc.
Mögliche Folgen:
Portale Hypertension
Stauung der Portalvene und ihrer peripheren Zuflüsse
BEACHTE:
Anwinkelung des Dopplerschallstrahls oder Farbfensters mittels Beam Steering um maximal 20° in beide Richtungen
Mikrokonvexschallkopf:
Anwendung bei großen & übergewichtigen Hunden
Anwendung bei kleinen Hunden & Katzen zur Darstellung kranialer Anteile der V. portae und intrahepatischer Portalvenenäste
Anwendung bei tiefbrüstigen Hunden auch zur interkostalen Anschallung kranialer Anteile der V. portae und intrahepatischer Portalvenenäste
Geräteeinstellungen im B-Bild:
Frequenzeinstellung so hoch wie möglich, Anpassung an benötigte Eindringtiefe
Grundeinstellung des Farbdopplers:
Geschwindigkeitsbereich: etwa ± 20 cm/s → bei fehlender Farbkodierung Reduzierung der PRF
Symmetrische Skalierung der Nulllinie am Farbbalken
Wandfilter: maximal 100 Hz, wenn möglich 50 Hz
Größe des Farbfensters: möglichst maximal 4 x 4 cm
Bei ungenügender Farbfüllung des Venenlumens, Verbesserung durch:
Erhöhung des Farbgains
Verkleinerung des Geschwindigkeitsbereichs durch Reduzierung der PRF
Winkel zwischen Dopplerschallstrahl & Gefäßachse beachten, sollte <60 ° sein
Reduzierung des Wandfilters
Erhöhung des Farbvorrang bzw. Zurücknahme der B-Bild Verstärkung
Grundeinstellung des PW-Dopplers:
Geschwindigkeitsbereich: etwa ± 50 cm/s bzw. ± 0,5 m/s
Mittig eingestellte Nulllinie, kann aber auch zugunsten des Vorwärtsflusses verschoben werden
Wandfilter: <100 Hz, wenn möglich 50 Hz
Größe des Messvolumens: sollte gesamtes Gefäßlumen umfassen, keine Bewegungsartefakte durch pulsatile Gefäßwände wie bei Arterien
Schnittführung:
Rückenlage:
Medianer Längsschnitt des kranialen Abdomens leicht kaudal des Magens
V. portae stellt sich ventral und ggf. leicht links der V. cava caudalis bzw. ventral und leicht rechts der Aorta abdominalis dar
Gefäß zeigt im Längsschnitt etwas kurvigeren Verlauf als Aorta abdominalis und V. cava caudalis
Auf Höhe der Milz ist der Zufluss der V. lienalis darstellbar, allerdings ist diese häufig nicht in ihrem gesamten Verlauf bis zur Milz einsehbar
Durch Verschieben des Schallkopfes nach kaudal kann die V. portae in ihrem kurvigen Verlauf weiter Richtung kaudal verfolgt werden
Am Zufluss der wesentlich kleineren V. mesenterica caudalis geht die V. portae in die stärkere V. mesenterica cranialis über, welche in enger Nachbarschaft mit der A. mesenterica cranialis im Mesojejunum verläuft
Für eine Verfolgung der V. portae von oben genanntem Ausgangspunkt nach kranial muss der Schallkopf zudem leicht rechts orientiert werden, um die Porta hepatis darzustellen
Aufgrund des Verlaufs dorsal des Magens ist eine Darstellung der V. portae in diesem Bereich häufig nicht möglich
Kurz vor Eintritt in die Leber nimmt die V. portae die V. gastroduodenalis auf
eine Darstellung intrahepatischer Portalvenenäste erfordert i.d.R. ein Kippen des Schallsektors nach kranial
Durch leichten Druck ins kraniale Abdomen wird eine substernale Anschallung ermöglicht
Verschiebung des Schallkopfes zu beiden Seiten entlang des Rippenbogens nach lateral zur Durchmusterung der Leber im Längsschnitt & Beurteilung der Portalvenenäste im Parenchym
Anschließend sollte die Leber auch im Querschnitt durchgemustert werden
Es kann wieder in der Medianen begonnen werden, der Schallkopf wird dafür quer auf das kraniale Abdomen aufgesetzt
Durch sanften Druck kann wieder eine substernale Anschallung mit Ausrichtung des Schallsektors nach kranial erreicht werden
Durch Schwenken des Schallsektors nach dorsal und ventral wird die Leber im Querschnitt durchgemustert und die Portalvenenäste beurteilt
Um die gesamte Leber auch im Querschnitt beurteilen zu können, müssen laterale Leberanteile durch subkostale Anschallung auf beiden Seiten auf gleiche Weise durchgemustert werden
Linke Seitenlage:
Interkostale Anschallung von rechts:
Zur Darstellung der Porta hepatis und intrahepatischer Portalvenenäste
Insbesondere bei großen, tiefbrüstigen Hunden und Mikrohepatie empfohlen
Auch hilfreich bei Tieren mit stark aufgegastem Magen-Darm-Trakt
Anschließend kann die V. portae in einer dorsalen Schallebene nach kaudal verfolgt werden
Querschnitte im kranialen Abdomen verdeutlichen die Lagebeziehung der V. portae zur V. cava caudalis und Aorta abdominalis, eignen sich aber nicht zur Anwendung des PW-Dopplers um Strömungsgeschwindigkeiten zu messen
Beurteilung von:
Gefäßverlauf
Gefäßdurchmesser:
gemessen auf Höhe der Porta hepatis:
Hund: physiologisch zwischen 3,3 bis 10,5 mm (D'ANJOU et al., 2004)
Katze: physiologisch zwischen 3,4 bis 5,0 mm (D'ANJOU et al., 2004)
BEACHTE:
eine Darstellung der V. portae an der Porta hepatis kann bei futter- oder gasgefülltem Magen stark erschwert sein
Der maximale Durchmesser der V. portae (PV) kann außerdem mit dem der dorsal verlaufenden Aorta abdominalis (Ao) verglichen werden und sollte nicht wesentlich geringer sein:
bei Hund & Katze gelten Werte zwischen 0,71 und 1,25 für die PV/Ao ratio als normal
Werte ≥0,8 schließen zudem einen EPSS aus (D'ANJOU et al., 2004)
BEACHTE:
Messungen des maximalen Durchmessers sollten im Querschnitt erfolgen, um eine Kompression des Gefäßlumens auszuschließen
Zudem sollte der Durchmesser der V. portae immer größer sein, als der ihrer Zuflüsse, z.B. der V. gastroduodenalis → wenn ein Zufluss der V. portae größer ist als diese kann dies auf einen Shunt hindeuten (GRIFFIN, 2019)
Gemessen in der gleichen Tiefe sollte der Durchmesser der intrahepatischen Portalvenenäste und der Lebervenen etwa gleich sein
pathologisch: hepatofugaler Blutfluss (von der Leber weg) → kontinuierlich oder intermittierend
Bestimmung der Strömungsgeschwindigkeit:
Darstellung der V. portae im Längsschnitt
Winkel zwischen Dopplerschallstrahl und Gefäßachse sollte <60° sein
Bei Verwendung eines Linearschallkopfes ist Verwendung des Beam Steering hilfreich → Dopplerschallstrahl kann zu beiden Seiten bis zu 20° anguliert werden
Positionierung des Messvolumens mittig im Gefäßlumen und Anpassung der Größe → Messvolumen sollte das gesamte Gefäßlumen und gegebenenfalls auch die Gefäßwände einschließen
Parallele Ausrichtung des Winkelkorrektur-Cursors zum Gefäßverlauf
Aktivierung des PW-Dopplers zur Messung der Strömungsgeschwindigkeiten
Normalbefunde:
B-Bild:
Wand der V. portae und ihrer intrahepatischen Äste deutlich hyperechogen im Vergleich zu den Wänden der Lebervenen
In der Leber sollte der Anteil von Portalvenenästen und Lebervenen etwa gleich sein
Farbdoppler:
Blutfluss in der V. portae und ihren Zuflüsse Richtung Leber (hepatopedal)
Blutfluss in den Portalvenenästen Richtung Peripherie der Leber
Blutfluss ist dadurch auf den Schallkopf zu gerichtet und wird rot kodiert
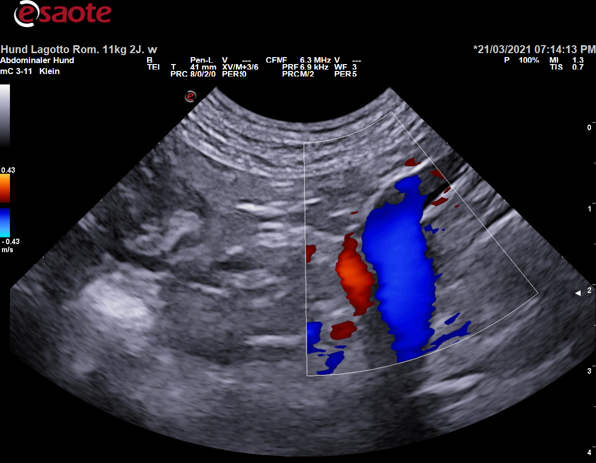
Darstellung der Vena portae im mittleren Abdomen im Farbdoppler Darstellung der Vena portae im mittleren Abdomen im Farbdoppler mit Beschriftung
PW-Doppler:
Parabolisches Geschwindigkeitsprofil: breite Verteilung von Strömungsgeschwindigkeiten
Relativ kontinuierlicher, langsamer Blutfluss ohne Modulation des Strömungssignals durch die Herzaktion
Konventionelle Duplexsonographie der Vena portae mit dem PW-Doppler - Das Dopplerspektrum zeigt einen relativ kontinuierlichen, langsamen Blutfluss
Jedoch Abhängigkeit des Strömungssignals von der Atmung:
Kompression auf das Leberparenchyms während der Inspiration senken die Strömungsgeschwindigkeiten, das Blut staut sich im portalen System
Zunahme der Strömungsgeschwindigkeiten während der Exspiration
Wellenförmiges Dopplerspektrum der Vena portae bei einem Hund mit frequenter Atmung
Zunahme des portalen Blutflusses während der Verdauung, jedoch ist die genaue Abhängigkeit des Strömungssignals von der Digestionsphase unbekannt
Empfehlung daher Doppleruntersuchungen unter möglichst gleichen Bedingungen durchzuführen, z.B. nüchternes Tier, gleiche Lagerung, etc.
Mittlere Strömungsgeschwindigkeiten (Vmean):
Hund: physiologisch etwa zwischen 10 bis 25 cm/s (LARSON et al., 2021)
18,1±7,6 cm/s (NYLAND & FISHER, 1990)
17,8±4,4 cm/s (D'ANJOU et al., 2004)
12 - 17 cm/s (LAMB, 1998)
14,7±2,5 cm/s (LAMB & MAHONEY, 1994)
Katze: physiologisch etwa zwischen 10 bis 18 cm/s
17,1 cm/s (9,7 - 18,1 cm/s) (D'ANJOU et al., 2004)
ca. 10 - 12 cm/s (LAMB, 1998)
BEACHTE:
Mittlere Strömungsgeschwindigkeiten können mit der „uniform insonation method“ vom Ultraschallgerät berechnet werden, aber auch eine manuelle Berechnung nach Anwendung der „maximum velocity method“ ist möglich durch Multiplikation der Maximalgeschwindigkeit mit dem Faktor 0,57, es gilt jedoch gewisse Fehlerquellen zu vermeiden (siehe Strömungsformen).
Konventionelle Duplexsonographie der Vena portae mit dem PW-Doppler - Untersuchung bei einem nüchternen Hund mit relativ kontinuierlichem, langsamem Blutfluss