Vena cava caudalis
- Ursprung:
- Verlauf:
- Äste der V. cava caudalis:
- Nach dorsal:
- Vv. lumbales:
Wie schon bei den zugehörigen Aa. lumbales entspricht auch die Anzahl der paarig abgehenden Vv. lumbales der Anzahl der Lendenwirbel. Allerdings entspringen diese nicht alle aus der V. cava caudalis, sondern zeigen tierartlich unterschiedliche Ursprungsgefäße:
- Hund:
- Paar Nr. 1 - 2, selten 3: V. azygos dextra
- Paar Nr. 3 - 5 (6): V. cava caudalis
- Paar Nr. 6: V. circumflexa ilium profunda / V. cava caudalis / V. iliaca communis
- Paar Nr. 7: V. iliaca communis (INTERNATIONAL COMMITTEE ON VETERINARY GROSS ANATOMICAL NOMENCLATURE, 2017)
/ V. cava caudalis / V. sacralis mediana / V. iliaca interna
- Katze:
- Paar Nr. 1 - 2: V. azygos dextra
- Paar Nr. 3 - 6: V. cava caudalis
- Paar Nr. 7: V. iliaca communis
- Hund:
- Vv. lumbales:
- Nach ventral:
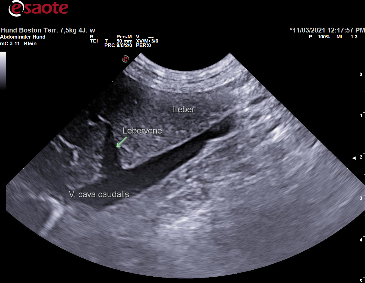
- Vv. hepaticae:
Bei ihrem Verlauf über die Facies diaphragmatica der Leber entspringen der V. cava caudalis die Vv. hepaticae sinistra, media und dextra für die verschiedenen Leberlappen, sowie beim Hund die V. hepatica accessoria.
- Vv. hepaticae:
- Nach lateral:
- Vv. phrenicae craniales:
Ursprung im Foramen venae cavae des Zwerchfells aus Lateral- und ggf. Dorsalwand der V. cava caudalis und Verzweigung im Zwerchfell.
- V. phrenica caudalis & V. abdominalis cranialis:
Die V. cava caudalis entlässt zu beiden Seiten einen gemeinsamen Anfangsabschnitt der beiden Venen. Als Besonderheit bei der Katze kann die linke V. phrenica caudalis auch aus der linken V. renalis entspringen. Die V. phrenica caudalis entlässt die Rr. adrenales craniales (Abstromgebiet: Nebennieren).
- V. renalis:
Tierartlich unterschiedlich entlässt die V. cava caudalis die Vv. renales dextra und sinistra beim Hund auf Höhe des 2. - 3. Lendenwirbels, bei der Katze auf Höhe des 3. - 4. Lendenwirbels.
- V. ovarica dextra bzw. V. testicularis dextra:
Beim Fleischfresser geht nur die V. ovarica dextra bzw. beim männlichen Tier die V. testicularis dextra aus der V. cava caudalis hervor, während die jeweilige linke Vene aus der V. renalis sinistra entspringt.
- V. circumflexa ileum profunda:
Kurz vor ihrer Endaufteilung entlässt die V. cava caudalis beidseits eine V. circumflexa ilium profunda, welche häufig auch doppelt angelegt ist. Beim Hund kann diese auch aus den beiden Vv. iliacae communes hervorgehen.
- Endaufteilung:
Auf tierartlich unterschiedlicher Höhe erfolgt die Endaufteilung der V. cava caudalis in die rechte und linke V. iliaca communis, welche beim Fleischfresser i.d.R. nach dorsal das letzte Paar der Vv. lumbales entlässt. Gegebenenfalls entspringt aus deren Teilungswinkel noch die unpaare V. sacralis mediana.
- Vv. phrenicae craniales:
- Nach dorsal:
- Anatomische Varianten:
- Hund & Katze:
- Doppelung / Duplikation der V. cava caudalis (siehe unten)
- Linksseitige V. cava caudalis (siehe unten)
- Retrokavaler Ureter (siehe unten)
- Situs inversus (siehe unten)
- Hund:
- Partielle (nur prärenales Segment) oder komplette (prärenales & renales Segment) Doppelung / Duplikation der V. cava caudalis
(REIS & TEPE, 1956; HEINZE, 1965; LABORDA et al., 1996; WAIBL & WILKENS, 2005; SCHWARZ et al., 2009; OUI et al., 2013; BERTOLINI et al., 2014; BERTOLINI, 2017; RYU et al., 2019)
BEACHTE:
gehäuftes Vorkommen bei kleinen Hunderassen,
z.B. Malteser, Yorkshire Terrier und Pudel
(BERTOLINI et al., 2014; BERTOLINI, 2017)
CAVE:
gleichzeitiges Bestehen eines kongenitalen extrahepatischen portosystemischen Shunts möglich
(BERTOLINI et al., 2014; RYU et al., 2019)gleichzeitiges Bestehen eines retrokavalen Ureters (einseitig oder beidseits) möglich
(BERTOLINI et al., 2014)
CAVE:
mögliche Ursache für Harnleiterobstruktion der betroffenen Seite(n)
(DOUST et al., 2006; DUCONSEILLE et al., 2010; BERTOLINI, 2017)
- Ursprung der V. ovarica sinistra / V. testicularis sinistra aus dem prärenalen, doppelt angelegten Segment bei Doppelung / Duplikation der V. cava caudalis
(LABORDA et al., 1996; WAIBL & WILKENS, 2005; BERTOLINI et al., 2014; RYU et al., 2019)
- Ursprung der V. renalis sinistra aus dem renalen, doppelt angelegten Segment bei kompletter Doppelung / Duplikation der V. cava caudalis
BERTOLINI et al., 2014
- Linksseitige V. cava caudalis:
Verlauf des prärenalen Segments der V. cava caudalis auf der linken Seite der Aorta abdominalis(DUCONSEILLE et al., 2010; BERTOLINI, 2017; RYU et al., 2019)
BEACHTE:
gleichzeitiges Bestehen eines retrokavalen Ureters (einseitig oder beidseits) möglich
(DUCONSEILLE et al., 2010; BERTOLINI, 2017)
CAVE:
mögliche Ursache für Harnleiterobstruktion der betroffenen Seite(n)
(DOUST et al., 2006; DUCONSEILLE et al., 2010; BERTOLINI, 2017)
- Segmentale Aplasie (prähepatisches & hepatisches Segment) und Azygosfortsetzung der V. cava caudalis
(HICKMAN et al., 1949; MAY, 1960; WALLACE, 1960; VITUMS, 1972; MARTIN & GERRITY, 1980; MCCLURE & CONSTANTINESCU, 1987; SAMMARCO et al., 1995; BARTHEZ et al., 1996; HUNT et al., 1998; FUNK et al., 2001; HARDER et al., 2002; FISCHETTI & KOVAK, 2008; SCHWARZ et al., 2009; ZWINGENBERGER et al., 2011; OUI et al., 2013; BERTOLINI, 2017; ŠEHIĆ et al., 2017; LOCKWOOD et al., 2018; NEWMAN et al., 2020)
CAVE:
gleichzeitiges Bestehen von kongenitalen portosystemischen Shunts, einer Aplasie der V. portae & Aneurysmen der V. cava caudalis, sowie Thrombusbildung möglich
(HICKMAN et al., 1949; HUNT et al., 1998; FUNK et al., 2001; HARDER et al., 2002; FISCHETTI & KOVAK, 2008; SCHWARZ et al., 2009; ZWINGENBERGER et al., 2011; BERTOLINI, 2017; ŠEHIĆ et al., 2017)
- Retrokavaler Ureter (engl.: preureteral vena cava / circumcaval ureter / retrocaval ureter):
Lage des entsprechenden Ureters dorsal der V. cava caudalis(DOUST et al., 2006; DUCONSEILLE et al., 2010; BERTOLINI et al., 2014; BERTOLINI, 2017)
CAVE:
mögliche Ursache für Harnleiterobstruktion der betroffenen Seite(n)
(DOUST et al., 2006; DUCONSEILLE et al., 2010; BERTOLINI, 2017)
- Situs inversus (totalis):
spiegelverkehrte Anordnung der Organe und Gefäße(CARRIG et al., 1974; LOHSE et al., 1976; STOWATER, 1976; HOUGH et al., 1979; AUGUST et al., 1982; AFZELIUS et al., 1984; EDWARDS et al., 1989; FOODMAN et al., 1989; HUNT et al., 1998; KAYANUMA et al., 2000; CHOI et al., 2001; REICHLER et al., 2001; NEIL et al., 2002; CAVRENNE et al., 2008; DURANT, 2008; WITSBERGER et al., 2009; PIANTEDOSI et al., 2011; ALMEIDA et al., 2012; OUI et al., 2013; CAHUA et al., 2015; CELONA et al., 2017)
CAVE:
gleichzeitiges Bestehen primärer ciliärer Dyskinesie (PCD, engl.: primary ciliary dyskinesia/ immotile-cilia-syndrome) möglich, in solchen Fällen Bezeichnung als Kartagener Syndrom
(KARTAGENER, 1933; CARRIG et al., 1974; STOWATER, 1976; AUGUST et al., 1982; AFZELIUS et al., 1984; EDWARDS et al., 1989; FOODMAN et al., 1989; REICHLER et al., 2001; NEIL et al., 2002; CAVRENNE et al., 2008; DURANT, 2008; CELONA et al., 2017)
CAVE:
gleichzeitiges Bestehen weiterer Veränderungen, wie z.B. Hydrocephalus, im Zusammenhang mit PCD
(EDWARDS et al., 1989; DANIEL et al., 1995; REICHLER et al., 2001; NEIL et al., 2002)gleichzeitiges Bestehen portosystemischer Shunts und anderer Gefäßvariationen (vor allem der V. cava caudalis) möglich
(LOHSE et al., 1976; HUNT et al., 1998; KAYANUMA et al., 2000; OUI et al., 2013)
- Ursprung der Vv. circumflexae ilium profundae aus den Vv. iliacae communes
(WAIBL & WILKENS, 2005; RYU et al., 2019)
- Partielle (nur prärenales Segment) oder komplette (prärenales & renales Segment) Doppelung / Duplikation der V. cava caudalis
- Katze:
- Doppelung / Duplikation der V. cava caudalis
(BUTLER et al., 1946; RIECK & REIS, 1953; CÁCERES et al., 2008; BÉLANGER et al., 2014; CASTELEYN et al., 2015; PEY et al., 2015; BERTOLINI, 2017)
BEACHTE:
gleichzeitiges Bestehen eines retrokavalen Ureters (einseitig oder beidseits) möglich
(BÉLANGER et al., 2014; CASTELEYN et al., 2015; PEY et al., 2015)
CAVE:
mögliche Ursache für Harnleiterobstruktion der betroffenen Seite(n)
(ZAID et al., 2011; PEY et al., 2015; STEINHAUS et al., 2015; BERTOLINI, 2017)
- Fallberichte: drei- oder vierfach angelegte V. cava caudalis (prärenales Segment)
(BUTLER et al., 1946; RIECK & REIS, 1953)
- Linksseitige V. cava caudalis:
Verlauf des prärenalen Segments der V. cava caudalis auf der linken Seite der Aorta abdominalis, Kreuzung der Aorta auf Höhe des renalen Segments und im weiteren Verlauf Übergang in eine normale rechtsseitige V. cava caudalis
(BUTLER et al., 1946; RIECK & REIS, 1953; PEY et al., 2015; BERTOLINI, 2017)
BEACHTE:
gleichzeitiges Bestehen eines retrokavalen Ureters (einseitig oder beidseits) möglich
(PEY et al., 2015; BERTOLINI, 2017)
CAVE:
mögliche Ursache für Harnleiterobstruktion der betroffenen Seite(n)
(ZAID et al., 2011; PEY et al., 2015; STEINHAUS et al., 2015; BERTOLINI, 2017)
- Retrokavaler Ureter (engl.: preureteral vena cava / circumcaval ureter / retrocaval ureter):
Lage des entsprechenden Ureters dorsal der V. cava caudalis(GRAVES & DAVIDOFF, 1922; CORNILLIE et al., 2006; ZAID et al., 2011; BÉLANGER et al., 2014; CASTELEYN et al., 2015; PEY et al., 2015; STEINHAUS et al., 2015; BERTOLINI, 2017)
BEACHTE:
Vorkommen häufiger rechts
CAVE:
mögliche Ursache für Harnleiterobstruktion der betroffenen Seite(n)
(ZAID et al., 2011; PEY et al., 2015; STEINHAUS et al., 2015; BERTOLINI, 2017)
- Situs inversus (totalis):
spiegelverkehrte Anordnung der Organe und Gefäße(BAIR, 1953; VOGEL, 1979; JERRAM et al., 2006)
- Doppelung / Duplikation der V. cava caudalis
Variationen - Endaufteilung der V. cava caudalis bei Hund & Katze
Quelle: nach WAIBL & WILKENS, 2005
- Hund & Katze:
BEACHTE:
In Anlehnung an die einschlägige Fachliteratur im Bereich der Veterinäranatomie wurde auch in dem folgenden Kapitel ein Verlauf von kranial nach kaudal beschrieben. Dies soll dem Lernenden den Vergleich mit der Fachliteratur erleichtern. Hierbei ist unbedingt zu beachten, dass dies eine rein anatomische und keine funktionelle Beschreibung ist. Sie entspricht nicht dem Verlauf des Blutes!
Des Weiteren wurde die allgemein anerkannte Einteilung der Vena cava caudalis in ein prärenales, renales, prähepatisches, hepatisches und posthepatisches Segment übernommen. Um Verwirrung vorzubeugen wird dies hier im Voraus nochmal verdeutlicht, denn diese Beschreibung der Segmente ist an der Blutflussrichtung in der Vena cava caudalis und somit von kaudal nach kranial orientiert.
Rechter Vorhof (Atrium dexter) des Herzens
Nach ihrem Ursprung Verlauf innerhalb der Plica venae cavae durch die rechte Pleuralhöhle nach kaudal. Eintritt in die Bauchhöhle nach Durchtritt durch das Foramen venae cavae des Zwerchfells. Danach dorsaler Verlauf zwischen rechtem Zwerchfellpfeiler und Facies diaphragmatica der Leber, wo sie in das Lebergewebe eingesenkt ist und den Sulcus venae cavae prägt. Nachdem sie über den dorsalen Rand der Leber läuft, zieht die V. cava caudalis ventral der Lendenwirbelsäule und rechts der Aorta abdominalis nach kaudal. Es folgt die Endaufteilung in die rechte und linke V. iliaca communis. Diese erfolgt beim Hund auf Höhe des 6. und bei der Katze auf Höhe des 6. -7. Lendenwirbels. Zudem kann die V. sacralis mediana aus dem Teilungswinkel der V. cava caudalis hervorgehen, oder sie entspringt aus einer der beiden Vv. iliacae communes.